Porque aunque en este momento pienses que eso no es posible, y entendemos que lo creas porque es complicado de visualizar un cambio de tantos años de espera y que te permita hacer una vida normal, casos como el de Carmen, Irene o Hugo, por poner unos ejemplos, son absolutamente reales.
Personalizamos un poco en ellos, porque todos problemas a los que se enfrenta una persona en su día a día son comunes a todos los casos que por suerte tratamos.
Bien porque salir a tomar una vermut se haya convertido en un problema y que vuelva a ser normal no tener que taparse la boca para comerse un huevo con gamba. O que aquello de ir a un restaurante y pedir una sopa sea cosa del pasado. O simple y llanamente, que puedas sonreír a ese familiar sin que recuerdes lo que antes te suponía disimular su cara de asco.
Eso es lo que se puede conseguir.
Al igual que los mencionados, solo salir de casa ya les suponía un auténtico reto. Cruzarse de acera cuando veían a un conocido o peor aún, a un familiar, sin sentirse mal y todo por el conflicto interno que suponía tener que hacer ese gesto muchas veces involuntario que es abrir la boca.
Que esas comidas con la familia se convirtieran en un … "Mejor no voy". O buscar una excusa peor todavía.
Con tristeza podemos decir que incluso caen en depresiones.
Todo eso, de entrada, lo solucionamos así.

En 5 horas.
Poco creíble, ¿verdad?
Pues es tan cierto como que estás leyendo ahora mismo, aunque podemos entender las dudas.
Y es la provisional.
Lo que si sabemos y es seguro es que …
En 5 horas puede cambiar tanto tu vida para siempre que incluso te preguntarás por qué no lo has hecho antes.
Algunos pacientes se desmoronan cuando ven el cambio, incluso se emocionan tanto, que cada cierto tiempo vienen a saludarnos. A veces hasta con detalles.
Te arreglarás tanto para salir a la calle, que parecerá que te hayan quitado 20 años de encima. Incluso más.
Salvo que tengas alergias, probarás de todo en los restaurantes.
La sonrisa, que parecía perdida, serás incapaz de quitarla de tu cara.
Si empezamos por el principio, nuestra primera clínica la abrió nuestro abuelo, después siguió nuestro padre y ahora somos los hijos los que estamos en Valencia, Teruel y Cullera.
Un clásico.
Este miedo es incluso más persistente que el hecho de no poder abrir a boca o comer lo que te apetezca. Muy humano priorizar evitar el dolor que lo de ir a comer por ahí o sonreír. Lo entendemos. Para esto podemos decirte que la experiencia no es religiosa, pero casi.
Se ha puesto muy de moda eso de ir por la vida respirando hondo, sin oír ruidos y disfrutado de una paz plena como si si te sentaras en un bosque y solo escucharas el sonido de los pájaros.
Esa es la forma más ilustrativa de explicarte lo que se siente. Tú estarás en modo zen y nosotros te dejaremos la boca con la ITV pasada.
Lógico, porque todo cuesta dinero. Dependerá del caso por lo que te sugerimos que nos llames o nos preguntes por Whatsapp.
Menos de 5.000€ seguro que no cuesta, para que tengas una referencia.
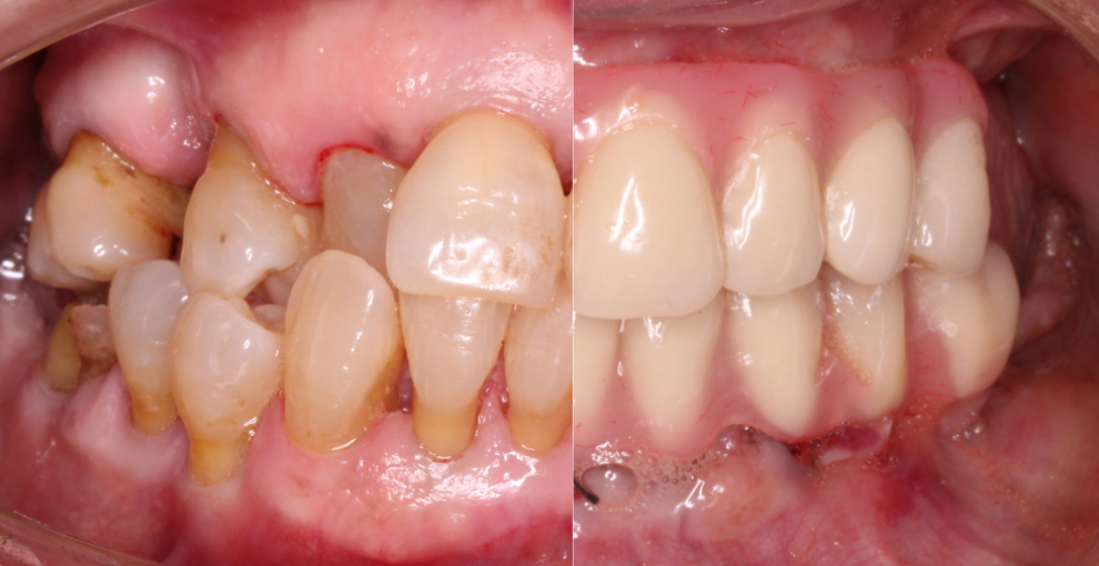
Las prótesis son provisionales, pero el cambio real, por el que lloran algunos pacientes, se produce en 5 horas, desde que te sientas en el sillón de la consulta hasta que llegan los dientes provisionales y sales por la puerta.
Te ayudamos con el transporte para que llegues hasta aquí, te buscamos alojamiento y lugares donde poner en práctica tu nueva sonrisa: restaurantes, museos, zoo …
Si vienes en avión te iremos a recoger. Vamos, a mesa puesta.
Si eres de Valencia, pues sabrás llegar. Pero si no pudieras, nos lo dices y lo arreglamos. Como si fueras de Lanzarote, vamos.
No problem. We speak english, italian, portugueses, deustch, french and Spanish … obviously. Y valenciano, claro.
Si. Sin problema.
© 2021 Clínicas Dentales Muñoz. Todos los derechos reservados.